Providers / Case Library / Spenic Artery Aneurysm

Peripheral Embolization

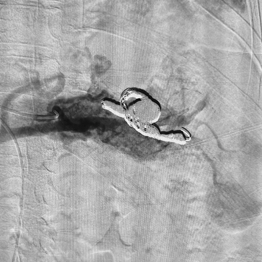
Spenic Artery Aneurysm

Ruby® Coil Dr. Eduardo Bent Robinson UCHealth University of Colorado Hospital, CO
rendering of Ruby Coil XL Deployment vessel
rendering of Ruby Coil XL Deployment vessel
Providers / Case Library / Spenic Artery Aneurysm

Peripheral Embolization

Spenic Artery Aneurysm

Ruby® Coil Dr. Eduardo Bent Robinson UCHealth University of Colorado Hospital, CO
Images used with permission and provided for illustrative purposes only. Procedural techniques and decisions based on physician’s medical judgment. Individual results may vary. Consents on file at Penumbra, Inc.

Questions?

Contact us to learn more about our products and company