Blog / Case Study, Product, Vascular

Case Study: CAT RX Delivers Impressive Thrombus Removal in Cardiac Arrest Case

September 29, 2025
A portrait of Dr. Michael Hust

Penumbra introduced the Indigo® System CAT™ RX for the removal of large clot burden in the coronary arteries. CAT RX is designed to navigate tortuous anatomy and track to distal coronary vasculature while maintaining sustained mechanical aspiration with the Penumbra ENGINE®.

A recent case illustrates the thrombus removal power of CAT RX. Michael Hust, MD, an interventional cardiologist in Cypress, Texas had his first experience using CAT RX to remove thrombus from a patient undergoing cardiac arrest and was impressed with its speed and effectiveness.

CASE STUDY

A 70-year-old male, a retired volunteer firefighter and grandfather, was working in his garden when he began to have mild substernal chest pain. Initially he didn’t pay much attention to symptoms as they resolved on their own, however, he later started feeling “off,” and subsequently called his wife to come home. He next contacted the fire department for further help when he began to have unremitting chest discomfort. The patient waited in his living room for help to arrive. As soon as the EMTs entered his front door, he went into cardiac arrest.

Emergency responders began cardiopulmonary resuscitation as well as using a defibrillator to deliver 11 shocks. Amiodarone and lidocaine therapy were also initiated. “This was a bad heart attack,” said Dr. Hust. “Guidelines for these types of cardiac arrest generally point to bad outcomes.”

INTERVENTION

The duration of the cardiac arrest was greater than 45 minutes, but Dr. Hust knew that EMTs present provided quality CPR and ACLS care. He knew he had to try to help.

Upon arrival at the hospital, the patient was immediately taken to the catheterization lab. Initial angiography revealed total occlusion of the left anterior descending (LAD) artery, beginning in the proximal segment of the artery. The entire LAD was ladened with thrombus, extending all the way to the distal vessel. Dr. Hust suspected the patient had experienced a complete occlusion several hours earlier and had been accumulating thrombus since.

Despite initial balloon angioplasty, revascularization was unsuccessful. Next, manual aspiration catheter was utilized to address the clot burden, however this was also unsuccessful. He called for Penumbra’s CAT RX, which uses the Penumbra ENGINE to deliver a powerful deep continuous vacuum – it was the first time he’d ever used it.

“I typically use manual thrombectomy catheters. However, the readiness of the cath lab team and how quickly CAT RX can be set up was really impressive,” said Dr. Hust. “Because of Penumbra’s in-services and other educational programming, our technicians had experience with CAT RX and that was of the utmost of importance.”

Dr. Hust completed two thrombectomy passes with CAT RX, removing approximately 95% of the thrombus. With the use of intravascular ultrasound, stents were successfully implanted into the culprit artery. The patient was also noted to have severely reduced left ventricular function and hypotension. The patient was placed on vasopressors and inotropic support via intravenous infusions and ultimately, mechanical circulatory support via an Impella device.

Impressively, about 48 hours later the patient was taken off all circulatory support and infusions due to improved hemodynamics and recovered left ventricular function with repeat echocardiogram demonstrating left ventricular ejection fraction (EF) of greater than 65%.

CONCLUSION

After making a full recovery, the patient was discharged to home approximately five days after admission. Dr. Hust called the patient’s recovery “absolutely amazing.” The patient returned to gardening and resumed all other daily activities without issue shortly thereafter.

“There’s no way that we would have this positive outcome without the CAT RX catheter,” said Dr. Hust. “The LAD was so laden with clot.” He noted that CAT RX is easy to set up and was impressed by its performance during the case, adding that he plans to use it in future acute coronary thrombus cases. “Now my protocol is 100% Penumbra, just because of this case,” said Dr. Hust. “I’m a believer.”

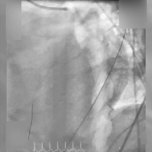
Angiogram of the left anterior descending (LAD) artery occluded with thrombus beginning in the proximal segment. Interventional wire can be seen coursing the LAD, defining the extent of thrombus. Angiogram of the left anterior descending (LAD) artery occluded with thrombus beginning in the proximal segment. Interventional wire can be seen coursing the LAD, defining the extent of thrombus.

Photo 1: Angiogram of the left anterior descending (LAD) artery occluded with thrombus beginning in the proximal segment. Interventional wire can be seen coursing the LAD, defining the extent of thrombus.

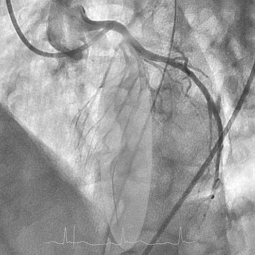
Portion of the LAD territory highlighted. Seen again is the interventional wire for reference. Portion of the LAD territory highlighted. Seen again is the interventional wire for reference.

Photo 2: Portion of the LAD territory highlighted. Seen again is the interventional wire for reference.

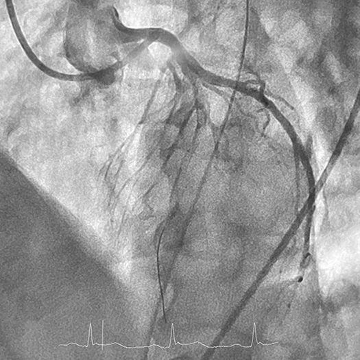
LAD angiography status-post aspiration thrombectomy with CAT RX and stent implantation in the offending LAD lesion. LAD angiography status-post aspiration thrombectomy with CAT RX and stent implantation in the offending LAD lesion.

Video: LAD angiography status-post aspiration thrombectomy with CAT RX and stent implantation in the offending LAD lesion.

Important Safety Information

Additional information about Penumbra’s products can be located on Penumbra’s website
at https://www.penumbrainc.com/products/coronary-thrombectomy-cat-rx/. Caution: Federal (USA) law restricts these devices to sale by or on the order of a physician. Prior to use, please refer to Instructions for Use (IFU) for complete product indications, contraindications, warnings, precautions, potential adverse events, and detailed instructions for use. For the complete Penumbra IFU Summary Statements, visit: peninc.info/risk. Please contact your local Penumbra representative for more information.

Copyright ©2025 Penumbra, Inc. All rights reserved. Indigo, CAT, and Penumbra ENGINE are registered trademarks or trademarks of Penumbra, Inc. in the USA and other countries.

Questions?

Contact us to learn more about our products and company